Immediate dental implant placement
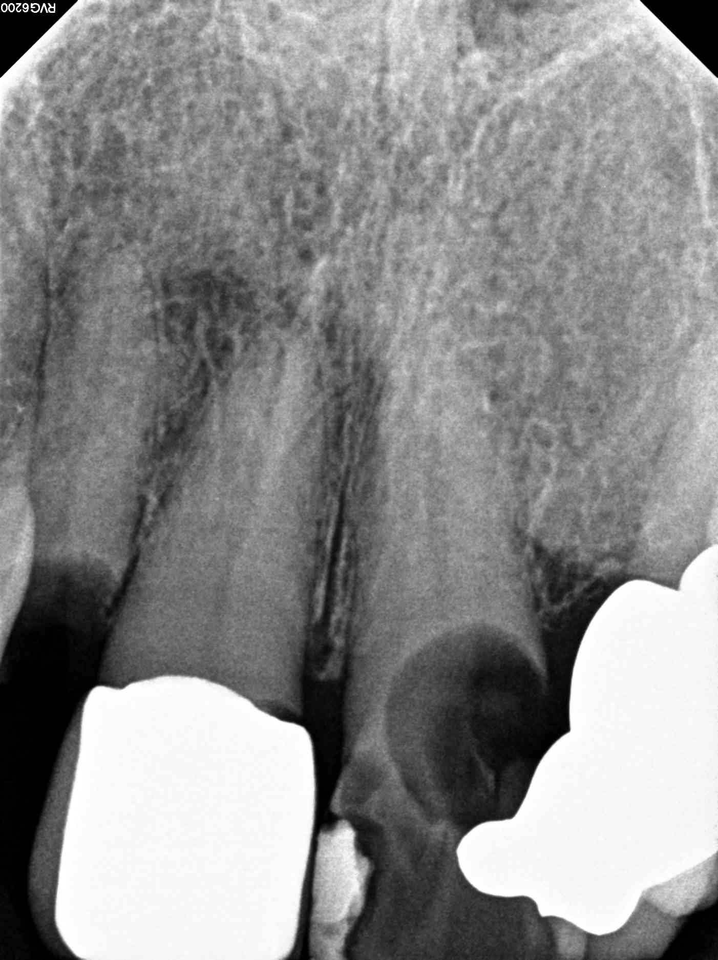
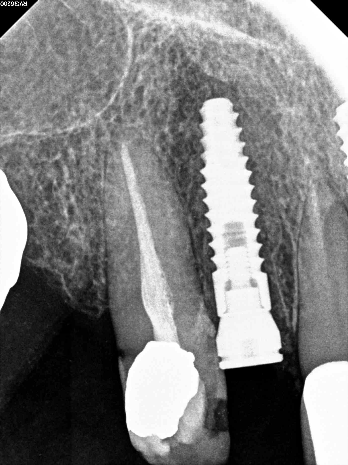
Our geriatric patient had a heavily restored dentition and things were falling apart for her. She needed something both durable and reliable. For teeth #7 and #9, both non-restorable, the best option was immediate dental implant placement and temporary crowns. The teeth were atraumatically extracted and based on the CBCT that was done at our office it was deemed that her bone quantity and quality was sufficient for her to get immediate implants. The case is still in progress and we attached X-rays in this blog of the immediate post-op result. She will be returning in 4 months for final impressions for her dental implants.



