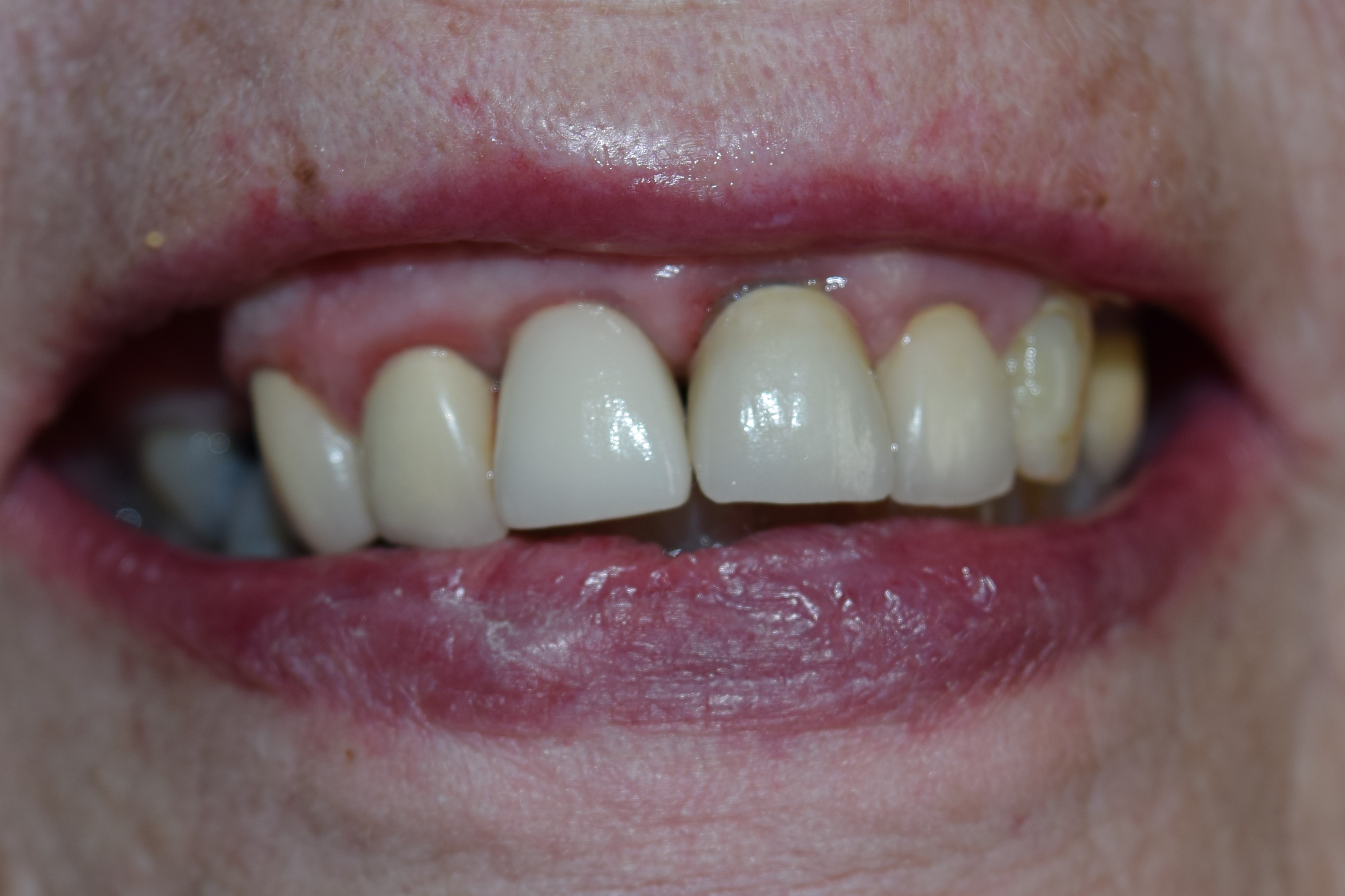
Front tooth restored with dental implant
Our patient had fractured a front tooth in an accident and needed a quick and permanent fix for her front tooth. The tooth was extracted and an immediate implant was placed the same day. After 4 months of healing we achieved an excellent emergence profile and a custom titanium abutment was torqued in. A permanent porcelain fused to metal dental crown was placed in the #8 area (to match her other crowns). We attached photos for this case. During treatment planning a CBCT scan was done of the upper arch to diagnose the qaulity and the quantity of the bone in this area. Dr. Yamen Akhras places dental implants at his office, where general dentistry and orthodontics are also services that are offered. Call today for a consultation with the doctor.




