Gum Disease Orland Park Innovative Approaches to Treating Gum Disease
- Cutting-Edge Treatments
- Non-Invasive, Painless Care
- Dedicated, Compassionate Experts
Dr. Yamen Akhras

Don't Wait to Improve Your Oral Health Request a Consultation Today

Gum disease symptoms such as bad breath might seem minor. However, untreated gum disease can lead to painful infections and even tooth loss. Early detection and treatment of periodontal disease can address the issue to prevent further complications and the need for more extensive dental treatments.
At Premier Dental & Implant Center in Orland Park, IL, we have a team of dedicated dental experts, including a board-certified periodontist and leading implant specialist, Dr. Yamen Akhras. We now offer virtual consultations to new and returning patients to make our dental care even more accessible and convenient.
Don't risk your dental health by letting gum disease go untreated. Contact our Orland Park dental practice online or call:
(708) 873-9709
Hear From Satisfied Orland Park Patients 5-Star Reviews
Veronica, Dr Yamen and his staff are beyond knowledgeable and kind! Their staff will make you look forwarding coming to get your teeth checked! They are very honest and upfront with costs and always thoroughly explain treatment plans. I can’t thank their practice enough for being so kind to myself and my family and help keeping our teeth healthy!
View on Google
Veronica is very nice and does a great job with our cleanings. She’s gets us in and out and you can tell she cares about her patients. Very friendly, personable and great customer service. The entire staff is amazing and I’ve been coming here for years now and never have had any issues.
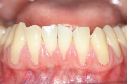
View on GoogleWhat Is Gum Disease?
Gum disease occurs when plaque and tartar build up on the teeth. When not properly removed, this plaque and tartar can irritate the gums. Gingivitis is the early stage of gum disease. If left untreated, it can lead to more advanced forms of periodontitis. 
Early detection and treatment can address the cause of the problem, alleviate symptoms, and preserve the health of your teeth, gums, jawbone, and more. This can help prevent the need for more extensive restorative dental work down the line, such as tooth extraction, bone grafting, dental implants, and tooth restorations.
Gum Disease Can Impact Your Overall Health
Periodontal disease has been linked to an increased risk of several whole-body health concerns, such as:
- Stroke
- Heart disease
- Diabetes
- Respiratory disease
- Rheumatoid arthritis
- More
Your oral health is a key component of your overall well-being. Delaying treatment for gum disease can have serious consequences for your health and quality of life. Reach out to our team for the care you need.
          
        How We Make Your Care Affordable
       
          
We understand that the cost of dental treatment can be a major obstacle for patients seeking to improve their oral health. We work with most insurance providers to reduce your costs, and we also accept CareCredit® for those without insurance or for those who need help managing out-of-pocket expenses. Financing allows you to split your costs into affordable monthly payments.
Effective Diagnosis and Expert Care for Gum Disease
We use state-of-the-art digital technology to provide our patients with the most accurate diagnosis and effective treatment for gum disease.
A Closer Look at Scaling and Root Planing An Effective Gum Disease Treatment
Hear From Another Satisfied Orland Park Patient
“Premier dental has been amazing to work with! All the staff members are super helpful and so nice. Every procedure I’ve had has gone smooth and they always make sure you are comfortable. I would highly recommend this dental office!”
Samantha Crofton
Protect Your Smile Top Tips for Preventing Gum Disease
Proper oral hygiene can keep bacteria to a minimum and help prevent periodontal issues like gingivitis or periodontitis. Here are some tips to keep your teeth and gums healthy:
Practice Good Oral Hygiene
Brushing and flossing are critical to good oral health. Brush for two minutes or longer with a soft-bristled brush and be sure the floss reaches below your gumline. This not only prevents buildup but also prevents bacteria from spreading.
Visit Your Dentist
Regular visits to our dental office in Orland Park, IL, can help us catch issues before they become worse. Regular dental cleanings can also help prevent plaque and tartar from building up on your teeth and irritating your gums.
Don't Use Tobacco
Tobacco use can increase your risk of gingivitis and periodontitis, as well as tooth loss, infections, and more. It is best for your oral health and overall health to stop using tobacco products.
Comprehensive Options for All Your Oral Health Needs

Gum disease treatment is often the first step on the road to better oral health. It allows your dentist to create a healthy foundation for further treatments and to prevent the development of additional issues.
If you're dealing with issues like tooth loss and tooth decay in addition to gum disease, our dentists are here for you. We provide comprehensive restorative dentistry treatment options to help you achieve optimal oral health and function, no matter your needs.
We can even tackle multiple issues at once with full mouth reconstruction, a custom treatment plan that combines services like dental implants, dental crowns, gum disease treatment, and more to streamline your care.
“Best dental team!!” More Reviews From Happy Patients
The team is amazing! They’re professional, friendly, and make every visit comfortable. Highly recommend for anyone looking for great dental care!!
View on Google





